Диагностика
Врачи бьют тревогу: аллергия сегодня вошла в пятерку самых распространенных хронических заболеваний, и ее возраст молодеет с каждым годом. Для определения аллергена у детей проводят специальный анализ, о котором мы и расскажем.
Стабильность работы сердца - важный показатель здоровья организма, ведь любые нарушения, в том числе связанные с частотой сердечных сокращения (ЧСС), могут привести к осложнениям. Расскажем о нормах ЧСС у детей подробнее.
С повышением температуры у ребенка время от времени сталкивается каждая мама, и имеет в арсенале свой комплекс средств для решения проблемы. Но что делать, если градусник у ребенка застыл на отметке 35?
Хотелось бы верить, что реже, чем у нас, взрослых, но и у детей иногда болит голова. Причины этого могут быть разными. Попробуем в них разобраться, чтобы знать, что предпринимать в этом случае.
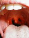
Если ребенок жалуется на плохое самочувствие, первое, что делает большинство родителей - смотрят горло и очень часто обнаруживают, что оно красное. В чем причины и как лечить красное горло мы расскажем в нашей статье.
Родители должны внимательно следить за изменениями в самочувствии ребенка, чтобы вовремя заметить признаки возможных заболеваний. В нашей статье мы расскажем, каковы причины внезапно появившейся сыпи на ногах у ребенка.
Ушные болезни - совсем не редкость в детском возрасте. И, если ребенок жалуется на боль в ухе, родителям следует уметь выявить причины и определиться с лечением. Расскажем подробнее, что делать, если у ребенка болит ухо.
Рахит - заболевание, которое нередко диагностируют в детском возрасте, выражающееся в изменении структуры костной и нервной тканей. В нашей статье мы расскажем, по каким симптомам и признакам можно распознать рахит у ребенка.
Кашель с мокротой - продуктивный кашель, свидетельствующий о том, что организм активно борется с инфекцией и способствует ее выведению. Однако, пускать его на самотек нельзя. В нашей статье мы расскажем, как лечить такой кашель у ребенка.
Иногда в анализе крови ребенка родители могут заметить запись об увеличенном уровне тромбоцитов. Разберемся, каковы нормы тромбоцитов и что означает их повышение у детей.
Детское здоровье









