К сожалению, дети нередко страдают от зубной боли, вызванной кариесом. Однако есть и еще одно заболевание в ротовой полости – флюс. Так называют воспаление надкостницы - соединительной ткани, которая связывает зуб с челюстной костью. Другое название воспаления – периостит. Флюс – это довольно болезненное состояние, а потому важно знать, отчего он появляется и как с ним бороться.
Причины и симптомы флюса у ребенка
Флюс редко возникает сам по себе. Как правило, воспаление надкостницы – это следствие зубных заболеваний. Чаще всего к нему приводит кариес. При нем в зубе в зубе постепенно увеличивается инфекционный очаг, где активизируются вредоносные микроорганизмы. Когда кариес сильно поражает зубную ткань, болезнетворные бактерии атакуют надкостницу, там развивается нагноение. В итоге соединительная ткань воспаляется. Другой причиной появления флюса на десне у ребенка может стать травма зуба, в который затем в месте повреждения проникают вредоносные микроорганизмы.
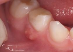
Распознать периостит самостоятельно очень просто. Его симптомы настолько ярко выражены, что ошибиться сложно. Во-первых, у ребенка наблюдается сильное опухание десны. Отек появляется и у околозубных тканях. Также воспаляется слизистая оболочка около очага. Сразу бросается в глаза, что щека малыша опухла. Такой отек может распространяться к носу, губам, шее.
Во-вторых, если ребенок раскроет рот, то вы обнаружите над зубом на десне шишку – сам очаг воспаления. Это образование заполнено гноем. Сама шишечка очень болезненна, маленькие пациенты страдают от сильнейшей зубной боли. В некоторых случаях поднимается температура, как ответ организма на инфекцию.
Как лечить флюс у детей?
Лечение периостита у детей, безусловно, необходимо. Дело в том, что при отсутствии своевременного лечения, возможны неприятные последствия. Поскольку флюс – это очаг воспаления, инфекция через него может попасть в другие органы, ткани, кости, даже оболочки мозга. Бывает так, что флюс прорывает, и гной вытекает. Поначалу это облегчает состояние. Однако через некоторый промежуток времени флюс снова может появиться. Именно поэтому первое, что делать, если у ребенка флюс, это своевременно предпринять меры, которые сводятся к обязательному посещению детского стоматолога. Настоятельно рекомендуем не заниматься самолечением. Некоторые домашние средства в виде полосканий и примочек могут только усугубить состояние ребенка и распространить инфекцию дальше.
Обычно лечение флюса у детей сводится к вскрытию гнойного очага и удалению гноя из него. Малышу делают местный наркоз, общая анестезия используется в исключительных случаях. Самое трудное – это заставить ребенка открыть рот для мини-операции, ведь дети очень боятся стоматологов. Конечно, специалист попробует уговорить маленького пациента, но возможно понадобиться помощь родителей. Малышу анестезируют десну сначала специальным гелем или спреем. И только потом ребенку вводят в десну инъекцию с анестезирующим веществом, например, убистезином или ультракаином.

Когда пациент перестал чувствовать боль и его десна занемеет, врач аккуратно произведет на шишке небольшой надрез, чтобы гной вытек. Обязательно будут проведены дренаж и санация очищенной от гноя полости для предотвращения повтора воспаления надкостницы. Зуб, у которого произошло воспаление соединительной ткани, нужно будет лечить или удалить. Домашнее лечение обычно предполагает антибактериальную и противовоспалительную терапию. Помимо этого ребенку будут назначены полоскания антисептическими растворами, например, раствором фурацилина, соды и йода, травяными настоями (ромашки, календулы, зверобоя).



